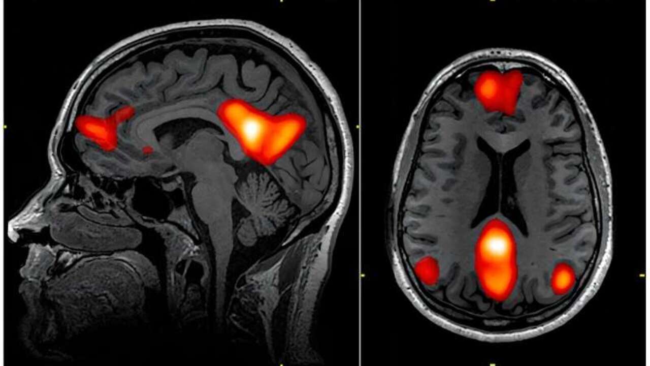
When we feel in trouble, our mind contains certain brain networks. Attention network attention is activated when we start watching a movie, for example, when you start watching a movie. As our interest is lost, the activity in the network of attention decreases. The same reduced activity is observed at the forefront or in the administrative control network due to its struggle to maintain involvement in indifferent content.
At the same time, the default network is activated by moving our attention to thoughts and reflecting itself.
Now we live in a world with a lot of information. Therefore, our nervous system is overloaded. Therefore, we deprive us of a simple and natural way to restart our sympathetic nervous system, avoiding boredom.
In small doses, boredom is a necessary weight for a world that we all experience.
Sometimes if you allow you to have trouble, it will be easier for you to enter creativity and enter a “stream” state, improve the independence of thinking, find other interests, will maintain self and emotional arrangement, spend time without digital devices, restor the balance of the nervous system and reduce the level of concern and reduce sensory sensitivity.
News -law materials cannot be equalized to the doctor’s prescription. Consult a specialist before deciding.
Source: Ferra
I am a professional journalist and content creator with extensive experience writing for news websites. I currently work as an author at Gadget Onus, where I specialize in covering hot news topics. My written pieces have been published on some of the biggest media outlets around the world, including The Guardian and BBC News.









