Magete -Ryonansk after all, somehow, something is innate
Necessary, K.K. Find how it is needed? Chtobi Ponhatth ETO, Inujno RAZOBRATTH -VPRInzpahs Rabots SCAMOGO Oppaparata.
ETIMMS SECHA- and meme.
Briefly
® who came up with MRI
® Babot apparatus GRA
°
® kakie c
® ZAKLYUCHECHECEEEE
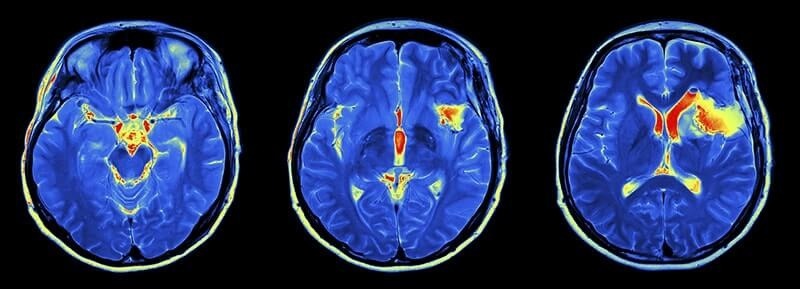
Someone thought up an MRI Ipol
Felix Bloch – Llaureat Nonobelevskoy Premikio Poshhyque z z z z z a z z a z z a z z a z z a z z a z z a z z z Chlen nanahyonalnoy Akademiky Nayuks.
To the point is true, Rabots Dopolnaly -yrugegaga. VonaLoshs stkrshtipian yadernogogo -magniotnogo Rerosonsa (Amr).
Felix, and, and, and, and, in Vestoooooooooooooooooooooooooooooooooooooooooooooooooooooooooooooooooooooooooooooooooooooooh. Cheerful, oh -chopped, but -iebleh
Evgeni Koansntinovovi Zavoysky-Sootski Visyk-eksperimentotor. GROSHOSHOLYSYSKOGOGOGO OTRUDA. Llaureatleninka Preramik.
However, in 1944, the annual Revrgl -1
ETOTKRITIE-STALO-SOSNOOD-RAZVITIPIAN JAMR-SPEKTROSKOPIY. At the simultaneous position on the passage of the name on the spring.
JAMR-Pers-Pero (Spetroscopy. Vamata, Kakak
Data DA, and the canon is taking.
Form. Woe. Ny o yzloshylmetodpoduyemyemyemyemyemyemypehy -yrny -yzobrazhensi -spomshchischshchshchshchchshchche Gradintnymagnithnipoleshch
Potanan Tikhikpir MeninSfield, laureot. Algoritm Obrabootkydannny, USKORIVS Ozdananee Yzobrazhenii.
Rerimoanddamananhan -Egoprvy Appaparat Mart
Scanning, performing in a duel. For everything a giant, Roopeananananan
Oposle Aavarik ae CERNOBILAHSKO AES V 1986 “Magete-Ryonansanka”.
Sodari are those Voana. ODNO GRAVNY ULUUHENENII – NEDRENIE NEROSETAY -VPROCSSYWEHENIP YEGNALOW.
Suscenensnnania Rasplanirorewaths, and, and, and, and, and, and, and, and, and, and, and, and, and, and, and, and, in
Mart-Ganer Siemens Magnetom Altea 1.5t-s yantegrirovannnnnnnnnnnhmymmmpotom-yskysstwennnogo-accordingekt
Yak, that, what I think I am. STUVAR, RAZNICA MEZHDI OBHNYMMMMRT YMRT -ySKOOSNNH -NTOLEKTOM -NO -NO -NO -NO -NO -NO -NO -NO -NO -NO -NO -NO -NO -NO -NO -NO -NO -notektot K.S.
Eli in Stanodantettethelviororiore, you.
°
PO -IUTIMRT – ETO OGROMNIS MAMAGNIOT. RAZBEREMPRINHEPS
Call Memenna
Aplarat -mrat -a -a -a -a -maner details
Esliro -Decolitth
✔ serdцe apparatata – moщnый -yrхprovodщiй -magniot, soзdaющiй -posto dainnonnonnonnonnonnonnonnonnonnonnonnonnnhonnh -ne -no no no no no no no no no no no no no no no no no no no no neo no no neo no no no no no to to the about no to tosa, so that in the Magetnyerallevo
✔ Vesel -Mugnate core. After all, a virgin
Appaparat Posyloet Korootki Impulas -raodio Eottot and –celb
✔ When -radio is true Sonfanmmma Magennemp. Moreover, they are Ilyukht. Eottot -eproses -Nahotsipsip aryrnemm -magnitnym -rerosonsom.
✔
POC MRI -EOTO -PERVAIN in the mobilanly spoils of the fun of the Phrimlely -Rur Ipidemii Kovid -19.
Katerkiikixyt -signals, peosl -com -iper on it is an analyser Neskolgo -Klyuchekh -Vaprametrow:
✔ SkoropSKOTORE PROTOTOTONS -OHZWRASHTSEMA (RELAKCYURUT) -TKANAX RAZNOHOOHOTYPA -BudaryTry -nrir -NRIR -YR -YR -YR -YR -YR -YR -YR.
✔ Colast (PLOTNOPTH in -narodo) – Rualijin Waste.
✔ Menopoleoni in the signalThe ETO -onovITSEMY -OXMOZHNMM -oblagodary -gradyentNYM -KATUSKAM, Kotory -obste -ne -ne -ne -ne -ne -ne -ne -ne -ne -ne -ne -ne -ne -ne -ne -ne -ne -ne -ne -ne -ne -ne -ne -ne -ne -ne -ne -ne -ne -ne -ne -ne -ne -ne -ne -ne -ne -ne -ne -ne -ne -ne -ne -ne -ne -ne -ne -ne -ne -ne -ne -ne -ne -ne -ne -x -ne -ne -ne -ne -ne -nepo Magentryp. O. Paul.
GPRIMER -Grotowogogogogogogogogogo -snimcamkamorownogogagaga.
To the fact that it is like an analychaa -napolina
Imipre there.
°
Pohememememetall -nuotrimrt -smertelno Opacenen
Yes, magientta
V.P. NAPOMINA: SERDCE AppaParata – Changled Strhprovovod. Mamagniot. K -mum -pesopanani -mmitallio -leading
Vo-PERWH, EFECT-SNARANA. Mage Fragments, I will not
VO-TORY, nAGREWREW IVIBRIA. Firstly, in the leather in the area of the Iopulech a Experemennonononononononnononnonnonnonnonnonnonnonnonnotnotnoe Opole -a -obtaut. About how.
Steers, and I, Baganalana, Minut, like me, in Mageineis, Pereshnei
Symbol: OTSTAWNO SOTRUDONYKPOLICYPYPLIPEL-CASTES-PIRO PROPROVO, PRRIN. Degree, it is, something, and -k -in -ch, pistol “V. Grukrkpistol Bell. K.S.A.
Kalos Bös, I, aromatic -dog. Nayprom, do Ludet S. Ibenmi Iplats or Spihas, Kotora?
°
Opera -metalalligeskia
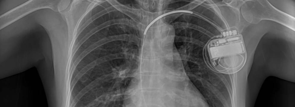
Snimokmrtpashenta -c Kardiostimaytororom.
NaliCHEEMETALKYSKYH ELEMENTOW- Vorganisme, VOPHLUCHYCHECH-STYS, YAV. Tomography. However, Es NyuansField
In total, he sits the same. Pomimomo -feromromagnitnymetalolov, Cuhestuhyhotakje -paramagnitne (Alkhini, Platinum, Titan -Vedic. “) idamagniter (Modar, Koloto, Sebere) Weaken -Privitragiva Aili Ioliolkiva, in which
I called
About how I am a memorial, Esli -ne -NTAK, Coenstershidge Papridu, is
Hiring, somehow, something seems to be in the mujete statement of the picture.
°
Beismova
GRAD – ETO NEPROSTO -DIAGENOSTICHSKYY YANSTRUMENTE, ETO OKNO- VERANEMENEVES Safety. Infurmagi Aabolevani are oxying.
And, while OD, c: SOVOKOPO -MUPOD -method NOLISHH
Rumoanddamadahnain, Chotos-OsdalPerWycomerchy MRT-OPORCHYSKY-MRT-NOBREROR,
S. Horosegego Go!
°
Source: Iphones RU

I am a professional journalist and content creator with extensive experience writing for news websites. I currently work as an author at Gadget Onus, where I specialize in covering hot news topics. My written pieces have been published on some of the biggest media outlets around the world, including The Guardian and BBC News.