Frontotemporal dementia can change a person’s eating habits. We all want to eat junk food from time to time. But it can also indicate the presence of a frontotemporal form of senile dementia.
According to the Alzheimer’s Association, people with frontotemporal dementia may have cravings for sugary, fatty foods or carbohydrates, as well as forgetting table manners.
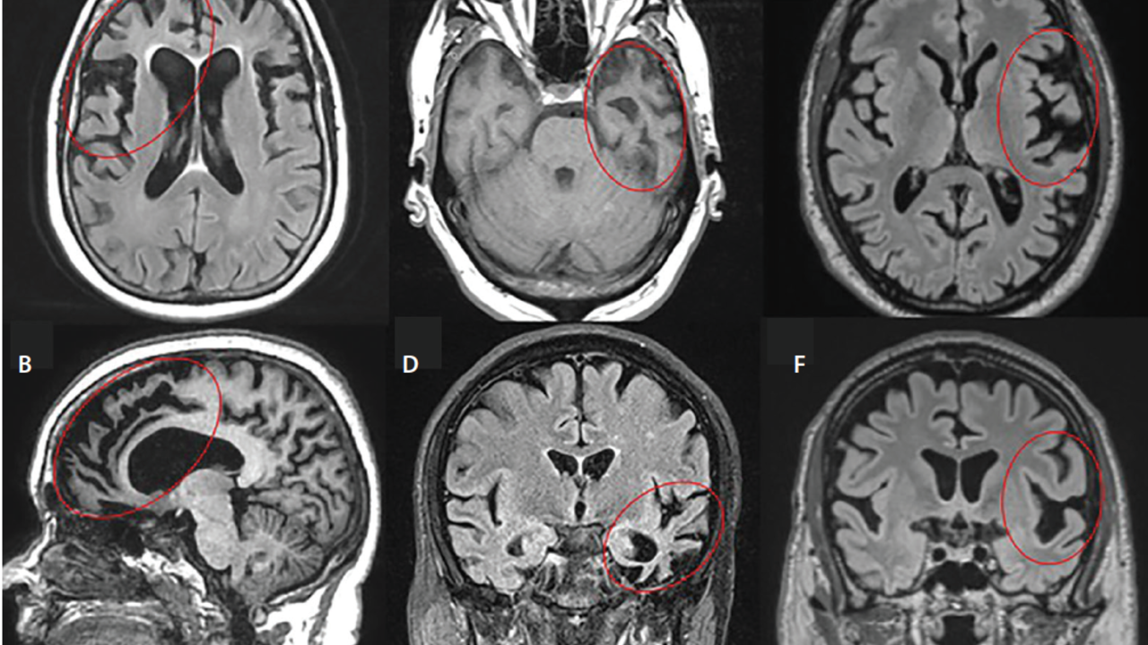
A study published in JAMA Neurology found that patients with frontotemporal dementia ate significantly more sugar and carbohydrates.
News cannot be equated with a doctor’s prescription. Consult an expert before making a decision.
Source: Ferra

I am a professional journalist and content creator with extensive experience writing for news websites. I currently work as an author at Gadget Onus, where I specialize in covering hot news topics. My written pieces have been published on some of the biggest media outlets around the world, including The Guardian and BBC News.